Orthopedics
Orthopedic surgery can help relieve pain and improve mobility in pets suffering from issues with their bones, joints, ligaments, or muscles. If your pet is a candidate for orthopedic surgery, Dr. Gose and his experienced team will provide compassionate, expert care—keeping your pet safe and comfortable before, during, and after the procedure.
Orthopedic Surgeries
We perform many types of orthopedic (bone) surgeries in our clinic.
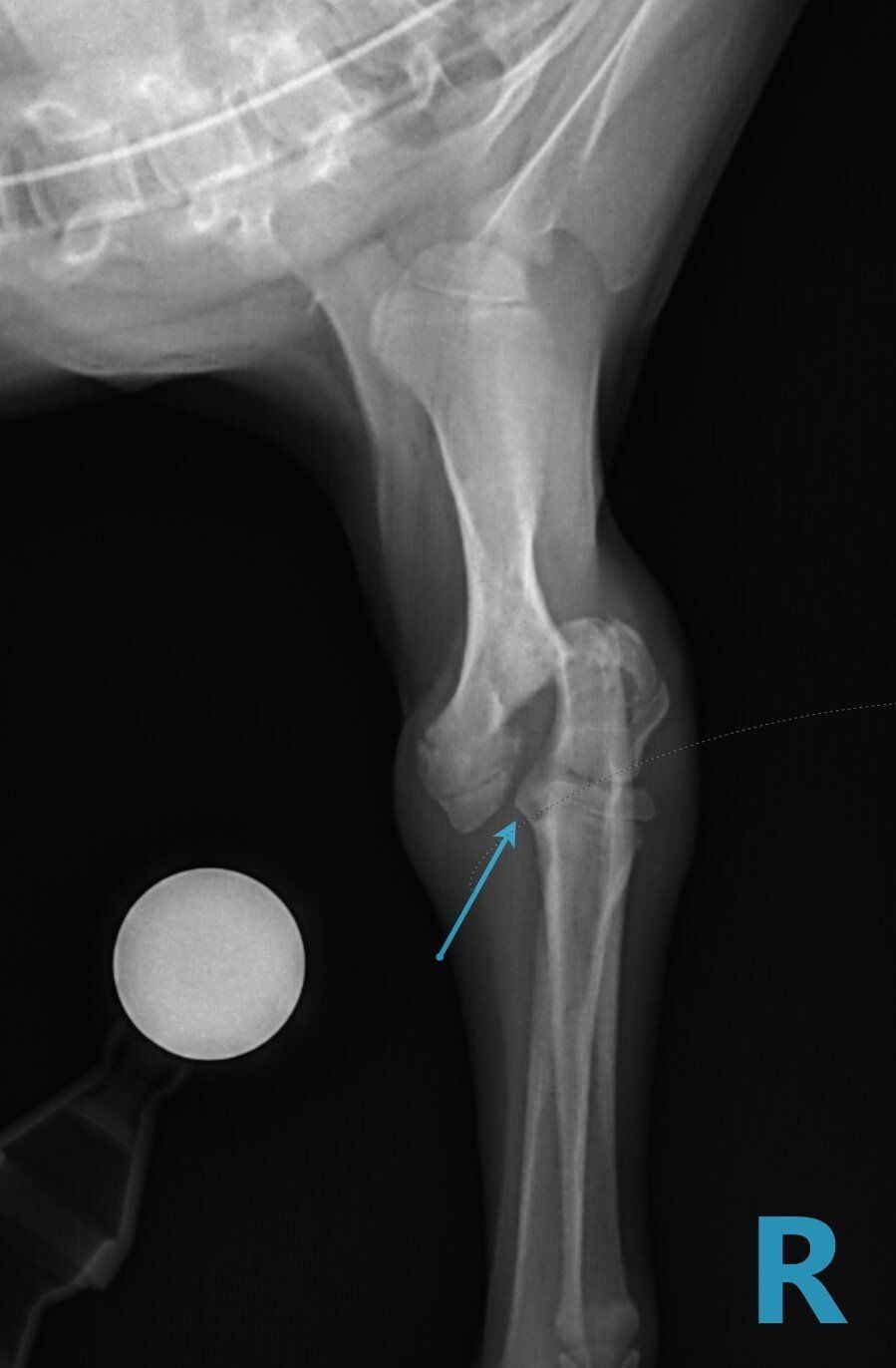
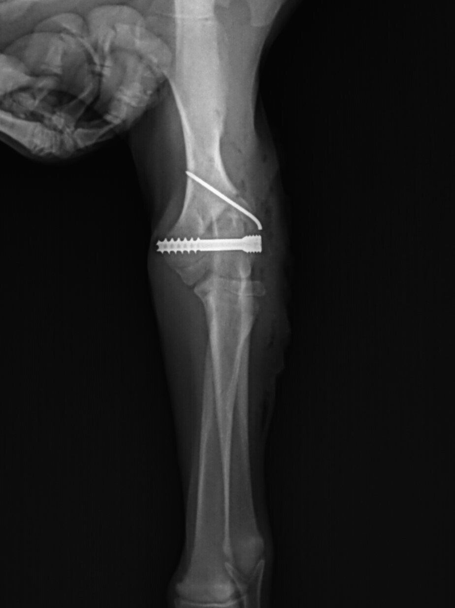
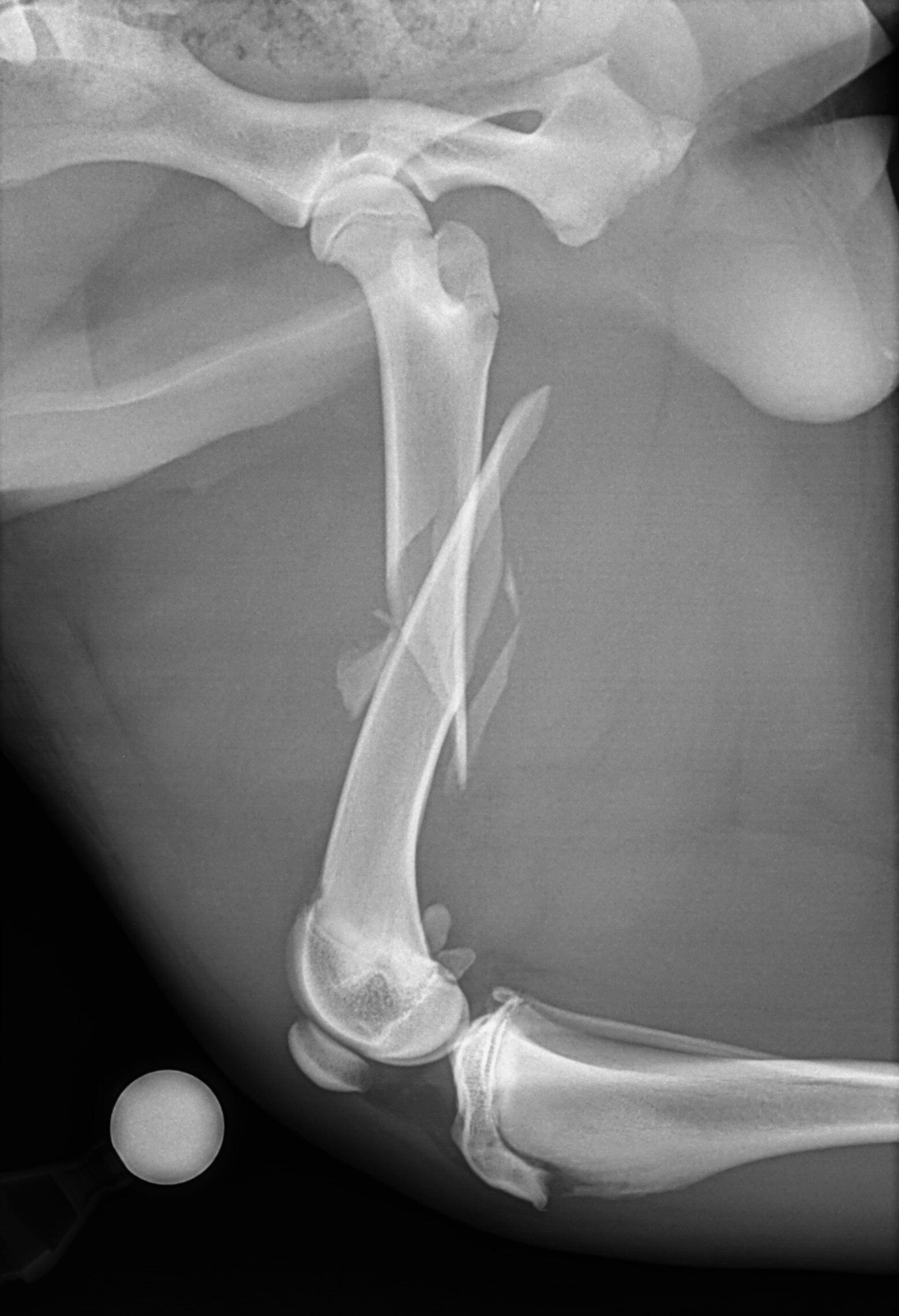
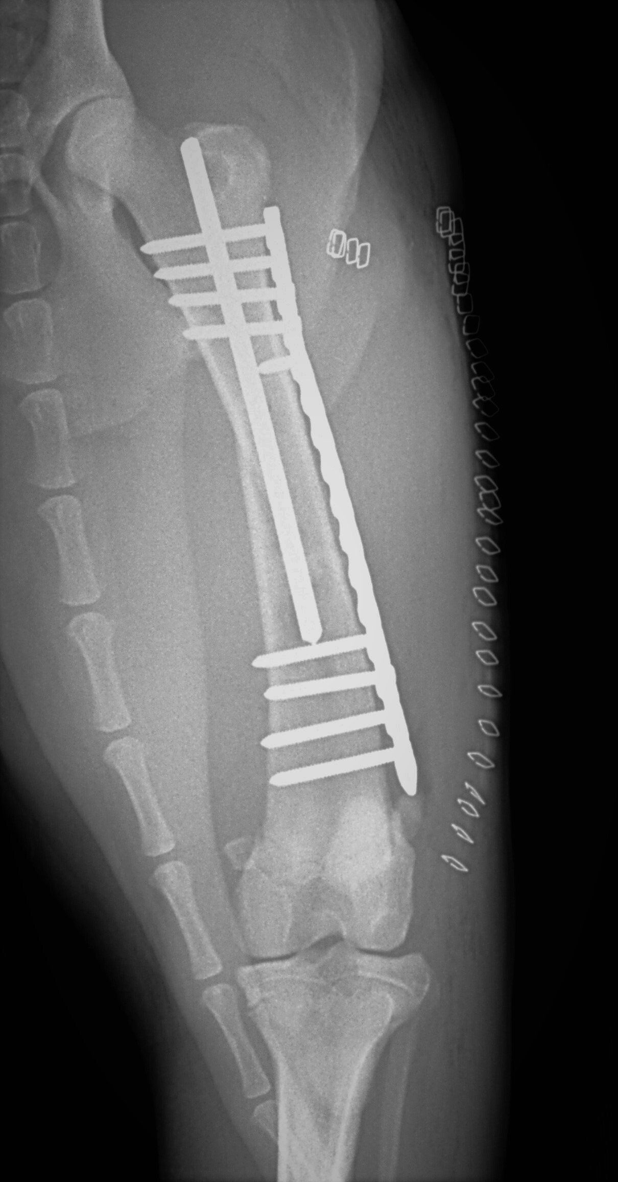
Leg fractures are one of the most common orthopedic problems presented at our clinic and usually result from a traumatic mishap. They can be treated in a variety of ways depending on the location and type of fracture. We can apply a cast to treat certain fractures; however, many fractures will require surgical intervention:
- “Pinning” stabilizes the fracture by inserting a long stainless steel rod into the middle of the bone across the fractured area.
- “Plating” involves attaching a flat stainless steel plate to the bone using screws on either side of the fracture.
We also perform a lot of orthopedic surgeries related to hip dysplasia, luxating patellas and other developmental orthopedic diseases.
Please contact us if you have any questions about these procedures or if you think your pet might benefit from them.
CBLO Surgery
The CBLO technique (CORA*Based Leveling Osteotomy), a state-of-the-art cruciate ligament repair based on the more widely known TPLO (Tibial plateau leveling osteotomy). The CBLO can have some advantages over the TPLO and other cranial cruciate ligament procedures depending on the patient. There are excellent short and long-term functional results. The CBLO can be performed on a juvenile patient because the surgery doesn’t involve the growth plate. The CBLO is also a preferred method on patients with excessive tibial slope that may require a wedge osteotomy during the repair. The TPLO and CBLO are both excellent procedures and are considered the “Gold Standard” for CCL repair.
CBLO
ButtonTPLO Surgery
Tibial Plateau Leveling Osteotomy (TPLO) is a procedure that modifies the geometry of the knee joint in dogs to allow a return to function after a CCL rupture. This is accomplished by making a semi-circular cut to the top portion of the tibia (shin bone). This top portion of the bone is then rotated to decrease the tibial plateau angle. This decrease in angle decreases or eliminates the instability and pain associated with having a ruptured CCL. Once the cut and rotation are made, a specialized plate and screws are placed to allow healing of the bone, which can take up to 12 weeks. The majority of the time this plate will stay in place for the remainder of your pet’s life. There are rare occasions in which the plate needs to be removed (infection, cold sensitivity, etc.). Once the bone is healed, the plate is no longer needed and can be removed with no adverse effects.
CBLO
ButtonDr. Gose is our orthopedic surgeon. He has received advanced training in orthopedic surgery and is certified to perform the TPLO (Tibial Plateau Leveling Osteotomy) and the CBLO (Cora Based Leveling Osteotomy) in order to repair cranial cruciate ligament injuries.
Below are x-rays of just a few orthopedic surgeries before and after that Dr. Gose has performed.












